Unprepared health infra in Delhi forced people to visit hospitals in neighbouring states: HC
New Delhi: The "deadly and highly infectious" nature of the second wave of Covid-19 and "unpreparedness" of the national capital's ...
Read moreDetailsNew Delhi: The "deadly and highly infectious" nature of the second wave of Covid-19 and "unpreparedness" of the national capital's ...
Read moreDetailsBhopal: A 55-year-old man who recovered from Covid-19 in Jabalpur has been detected with the white fungus or Aspergillu Flavus ...
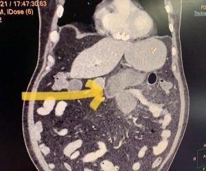
Read moreDetailsNew Delhi: A novel complication of mucormycosis or black fungus has been detected in a city hospital here in which the ...
Read moreDetailsSambalpur: At a time when rising cases of Covid-19 and black fungus have been causes of concern, as many as ...
Read moreDetailsNew Delhi: India has so far reported approximately cases of 8,848 mucormycosis or black fungus, one of the rapidly spreading infections ...
Read moreDetailsMumbai: As with the Covid-19 scourge, Maharashtra leads in the number of deaths and cases of the dreaded dark cousin ...
Read moreDetailsBhubaneswar: Even though Odisha is reporting a high number of positive Covid-19 cases (10-plus for the last 3-4 days) on ...
Read moreDetailsLucknow: The deadly black fungus -- Mucormycosis -- has claimed six more lives in the Uttar Pradesh capital in the ...
Read moreDetailsBhubaneswar: The Odisha government Thursday declared mucormycosis (black fungus) as an epidemic disease. This move comes about as the state ...
Read moreDetailsChennai: Tamil Nadu Thursday declared mucormycosis or 'black fungus' a "notifiable disease", as per directions of the Union Health Ministry. ...
Read moreDetails